Биология. 10 класс. Балан
Этот учебник можно скачать в PDF формате на сайте тут.
§ 31. Размножение вирусов. Основные этапы взаимодействия вируса и клетки
Вспомните: как размножаются клетки? Какие процессы называют репликацией, транскрипцией, трансляцией? Что такое мутации? Какие особенности строения бактериофагов?
Как вы уже знаете, вирусы обитают внутри клеток и не способны самостоятельно обеспечивать свои обмен веществ и превращение энергии. Вирусам свойственна избирательная способность попадать в определенные про- и эукариотические клетки, в которых существуют благоприятные условия для последующего размножения. Способы проникновения вирионов внутрь клеток весьма разнообразны и зависят от особенностей строения поверхностного аппарата видов-хозяев.
• Вирусы растений. Как вы знаете, клетки растений, кроме плазматической мембраны, покрыты крепкой утолщенной целлюлозной клеточной стенкой, непроницаемой для вирусов. Вирионы могут попасть в цитоплазму клеток растений лишь через поврежденные участки клеточной стенки.
Например, вирус табачной мозаики проникает в клетки новых хозяев через царапины на поверхности листовых пластинок или корневых волосков. Однако большинство вирусов растений «избрало» другой путь - они приобрели способность проникать внутрь клетки-хозяина благодаря разнообразным животным-переносчикам - насекомым (тля и др.) и круглым червям, питающимися соками определенных видов растений, прокалывая клеточную стенку. Вирусные частицы в организм переносчика попадают вместе с растительными жидкостями. Они циркулируют в организме переносчика и скапливаются в слюнных железах. Во время питания животные впрыскивают в клетки растений слюну вместе с вирусными частицами.
У ДНК-содержащих вирусов генетическая информация переписывается на молекулу иРНК, которая затем включается в механизмы синтеза белка клеткой-хозяином. Вирусная РНК после проникновения в цитоплазму сразу попадает на рибосомы, где на основе ее наследственной информации образуются вирусные белки. Однако перед вирусом «появляется», казалось бы, неразрешимая проблема: для новых дочерних вирусных частиц необходимо синтезировать такие же одноцепочные молекулы РНК. Но в клетке отсутствуют ферменты, которые бы обеспечивали перезапись информации с одной молекулы РНК на другую. Оказывается, в состав РНК вируса входят два гена, кодирующие особый фермент. С его помощью информация непосредственно перезаписывается с одной молекулы РНК на другую во время синтеза вирусных частиц.
Вирусные белки бывают нескольких типов. Одни из них - это ферменты, обеспечивающие самовоспроизведение молекул вирусной РНК или ДНК, другие - структурные белки оболочек новых вирусных частиц. На построение новых вирусных частиц тратятся энергия и «строительные материалы» (аминокислоты и нуклеотиды) клетки. В результате в цитоплазме накапливается много молекул вирусных белков и нуклеиновых кислот. Из них при последующей самосборке формируются новые вирусные частицы. Этот процесс чем-то напоминает монтаж автомобиля на конвейере. В определенных местах клетки из структурных белков образуются предшественники оболочек вирусов, к каждой из которых присоединяются молекулы вирусной нуклеиновой кислоты. Так образуются полноценные вирионы.
Мы только что рассмотрели процессы, которые происходят внутри инфицированной клетки. Но как вирусная инфекция распространяется по растению и вызывает развитие заболевания? Ученые детально изучили закономерности распространения вируса табачной мозаики (рис. 31.1) в клетках и органах растения-хозяина. Оказывается, для инфицирования соседних клеток вирусы используют плазмодесмы. Установлено, что РНК вируса табачной мозаики кодирует особенный белок движения. Он связывается с РНК вируса и транспортирует ее через плазмодесму к соседней здоровой клетке. К различным органам растения вирусные частицы попадают с передвижением растворов питательных веществ по ситовидным трубкам.

Рис. 31.1. Структура наследственного материала вируса табачной мозаики. Показано взаиморасположение четырех генов: 1, 2 - кодируют белки, входящие в состав фермента; 3 - кодирует белок движения; 4 - кодирует структурный белок

Рис. 31.2. Сравнение строения клеточных стенок грамположительных (I) и грамотрицательных (II) бактерий
Следует помнить, что запись генетической информации в виде РНК способствует увеличению количества самопроизвольных мутаций, ведь надежность качественной перезаписи с одной молекулы РНК на другую приблизительно на три порядка меньше, чем при перезаписи с молекулы ДНК на молекулу иРНК, а вероятность ошибки в тысячу раз больше. Как следствие, генетическая информация РНК-содержащих вирусов очень быстро меняется. Так образуются генетически неоднородные популяции вирусов.
• Вирусы бактерий, или бактериофаги. Бактериальная клетка надежно защищена от окружающей среды своеобразной «крепостной стеной» — клеточной стенкой более сложного строения, чем у растений и грибов (рис. 31.2).
Рассмотрим проникновение вируса внутрь бактериальной клетки на примере уже известного нам бактериофага Т4 (рис. 31.3). К концу его хвостового отростка присоединены шесть белковых нитей, оканчивающихся особыми участками — рецепторами. В свою очередь, на поверхности клеточной стенки клетки-хозяина (бактериофаги Т4 «специализируются» на бактериях кишечной палочки) есть гликопротеиды (как вы помните, так называют соединения белков с углеводами), с которыми и связываются рецепторы вируса. После этого бактериофаг плотно прижимает к клеточной стенке конец хвостового отростка и впрыскивает свою молекулу ДНК в цитоплазму клетки (рис. 31.4).

Рис. 31.3. Схематическое строение бактериофага Т4: 1 - геном в виде двухцепочной ДНК; 2 - головка; 3 - хвостовой отросток с чехлом; 4 - белковые нити
За очень короткое время (20-40 минут) в инфицированной клетке накапливается большое количество вирусных структурных белков и копий ДНК. После самосборки в цитоплазме бактерии образуется около 100 новых вирусных частиц. Особые ферменты вирусов растворяют клеточную стенку изнутри и вирионы оказываются в окружающей среде. Генетический материал бактериофага Т4 включает около 150 генов.

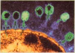
Рис. 31.4. Электронно-микроскопическая фотография момента впрыскивания ДНК бактериофага Т4 в цитоплазму бактериальной клетки
• Вирусы человека и животных. Рассмотрим особенности размножения вирусов человека и животных на двух примерах: вирусов полиомиелита и иммунодефицита человека. Первый из них является простым вирусом, второй — сложным. Вирион полиомиелита имеет специфические рецепторы, расположенные на его поверхности. После присоединения вирусной частицы к плазматической мембране она впячивается внутрь клетки, образуя пузырек, транспортирующий вирус к зернистой эндоплазматической сети, где освобождается вирусная РНК и происходит синтез вирусных белков. Новые молекулы РНК вируса полиомиелита синтезируются в ядре клетки, которое вследствие этого разрушается. Большое количество вирусных молекул РНК выходит из ядра, и в процессе самосборки формируются новые вирусные частицы. Вирионы попадают во внеклеточное пространство после разрушения плазматической мембраны (рис. 31.5).
На примере вируса иммунодефицита человека (ВИЧ) вы узнаете о том, как формируются сложные вирусные частицы. Однако сначала ознакомимся с основными характеристиками этого вируса. Как видно из рисунка 31.6, вирусная частица состоит из двух одинаковых молекул одноцепочной РНК, окруженных белковой оболочкой. Снаружи от нее есть еще одна оболочка, которая на самом деле является участком мембраны клетки-хозяина. Она состоит из липидов и полисахаридов, а также поверхностных вирусных белков-рецепторов; в составе вириона есть специфический фермент (обратная транскриптаза) для обеспечения перезаписи генетической информации из молекулы вирусной РНК на молекулу ДНК клетки-хозяина.

Рис. 31.5. Жизненный цикл вируса полиомиелита: 1 - присоединение к чувствительной клетке; 2 - впячивание цитоплазмы клеточной мембраны; 3 - образование пузырька; 4 - проникновение вирусной РНК в ядро; 5 - транскрипция вирусной РНК; 6 - трансляция иРНК; 7 - репликация вирусного генома; 8 - синтез структурных белков вируса; 9 - самосборка вируса; 10 - «выход» вирионов из инфицированной клетки

Рис. 31.6. Схематическое строение вируса иммунодефицита человека (ВИЧ)
• Как размножается вирус иммунодефицита человека? С помощью поверхностных белков вирионы ВИЧ определяют чувствительные клетки (обычно это Т-лимфоциты) и прикрепляются к их поверхности. В результате поверхностная мембрана вириона сливается с плазматической мембраной клетки, а его центральная часть попадает в цитоплазму (рис. 31.7), где происходит матричный синтез двухцепочной вирусной ДНК.
На следующем этапе вирусная ДНК транспортируется к ядру, где встраивается в одну из хромосом. После этого она может длительное время сосуществовать с хромосомой (так называемый провирус) в пассивном состоянии, то есть не реализуя собственную генетическую информацию. Инфицированных вирусом иммунодефицита людей на этом этапе развития заболевания называют носителями ВИЧ.

Рис. 31.7. Жизненный цикл вируса иммунодефицита человека (ВИЧ): 1 - присоединение ВИЧ к чувствительной клетке и проникновение вовнутрь; 2 - «раздевание» вируса; 3 - обратная транскриптаза генома вируса; 4-5 - образование двухцепочной ДНК вируса; 6 - встраивание генома вируса в геном клетки; 7-8 - синтез иРНК и белков вируса; 9 - сборка и почкование вируса; 10 - выход новых вирусов из клетки
В результате воздействия определенных факторов клеточной среды ДНК вируса может перейти к активному состоянию: начинается ее транскрипция и синтез белков ВИЧ, которые накапливаются в цитоплазме. В частности белки, отвечающие за образование внешней оболочки вируса, проникают в цитоплазматическую мембрану, формируя участки, которые в дальнейшем станут внешней оболочкой сложной вирусной частицы (рис. 31.7). В одной инфицированной клетке может одновременно синтезироваться около сотни новых вирусных частиц. При их одновременном отпочковывании от плазматической мембраны клетка погибает. Поскольку ВИЧ поражает Т-лимфоциты, их гибель приводит к дефициту иммунных клеток в организме. Отсюда происходит название - вирус иммунодефицита человека. Напомним, что этот вирус вызывает смертельно опасное заболевание человека-синдром приобретенного иммунодефицита человека (СПИД).
Ключевые термины и понятия. Бактериофаг, вирус иммунодефицита человека (ВИЧ), синдром приобретенного иммунодефицита человека (СПИД).
Кратко о главном
- Вирусам растений для проникновения в цитоплазму необходимо повреждение клеточной стенки в результате механических влияний или действия ротовых органов беспозвоночных животных-переносчиков (насекомых и круглых червей). Соседние клетки вирусы растений инфицируют через плазмодесмы.
- Во время нахождения вируса в клетке синтезируются вирусные белки, одни из которых действуют как ферменты, обеспечивающие последующее воспроизведение молекул вирусных нуклеиновых кислот, другие служат компонентами оболочек новых вирусных частиц.
- Бактериофаги находят прокариотических хозяев с помощью рецепторов, присоединяющихся к гликопротеидам бактериальной клеточной стенки.
- Простой вирус полиомиелита состоит из молекулы РНК (синтезируется в ядре клетки-хозяина) и белковой оболочки. Частица (вирион) сложного вируса иммунодефицита человека (ВИЧ) имеет дополнительную оболочку из мембраны клетки-хозяина.
- Поскольку ВИЧ поражает Т-лимфоциты, их гибель приводит к недостатку (дефициту) носителей клеточного иммунитета в организме. Отсюда происходит название - вирус иммунодефицита человека.
Вопросы для самоконтроля
1. Какие особенности размножения вирусов растений и грибов? 2. Какие особенности размножения бактериофагов? 3. Что вам известно об образовании простых и сложных вирионов? Приведите примеры.
Подумайте
Некоторые ученые отрицают, что вирус иммунодефицита человека (ВИЧ) вызывает заболевание СПИДом. Как это можно опровергнуть или подтвердить?